Come intervenire su un dente scheggiato senza compromettere il sorriso

Come intervenire su un dente scheggiato senza compromettere il sorriso

admin_clinicaviana Odontoiatria conservativa 0 Comment

Un piccolo urto, un cibo troppo duro, una caduta o semplicemente il tempo che passa. Un dente scheggiato può capitare a chiunque, spesso senza dolore ma con un impatto immediato sull’estetica del sorriso.
Scopri come riconoscere la gravità del danno, cosa fare nell’immediato e le soluzioni più efficaci per tornare a sorridere con sicurezza.

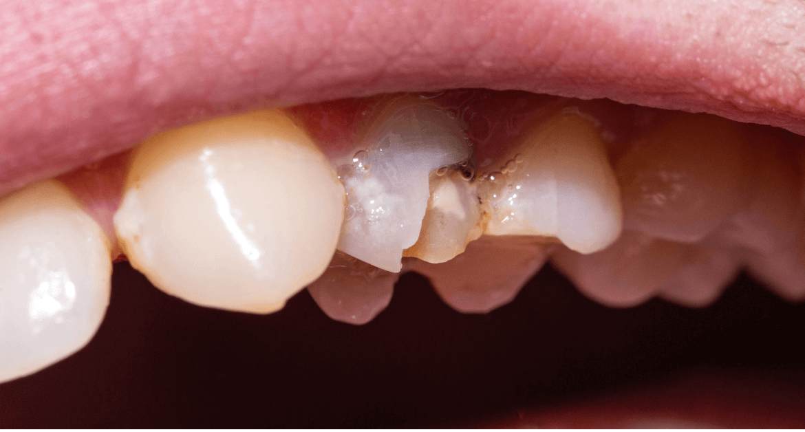
Dente scheggiato: quando preoccuparsi

Non tutte le scheggiature sono uguali. A volte si tratta di un piccolo difetto estetico, altre volte di una lesione che può indebolire il dente o esporlo al rischio di carie e fratture più profonde.
Un controllo tempestivo è sempre consigliato: anche una lieve scheggiatura può nascondere microfratture invisibili a occhio nudo.

Puoi sospettare un problema più serio se noti:

  • sensibilità al caldo o al freddo;
  • dolore durante la masticazione;
  • gengiva infiammata intorno al dente;
  • alterazione del colore o della forma del dente.

Solo una visita odontoiatrica può stabilire se si tratta di un danno superficiale o di una frattura più profonda.

Le cause più comuni di un dente scheggiato

Un dente scheggiato può dipendere da diversi fattori. Tra i più frequenti:

  • traumi diretti (cadute, urti o incidenti sportivi);
  • abitudini scorrette come mordere penne o aprire confezioni con i denti;
  • consumo eccessivo di cibi duri come nocciole o ghiaccio;
  • usura dovuta al bruxismo, ovvero il digrignamento involontario notturno;
  • vecchie otturazioni che non aderiscono più perfettamente e si infiltrano
  • carie profonde con smalto esterno che è di fatto solo un guscio fragile

Anche un incisivo scheggiato, spesso più esposto rispetto ad altri denti, può derivare da un colpo leggero che però compromette l’estetica e la simmetria del sorriso.

Cosa fare subito se si scheggia un dente

Il primo passo è non farsi prendere dal panico. Nella maggior parte dei casi, la situazione si risolve facilmente, ma è fondamentale intervenire in modo corretto.
Appena ti accorgi della scheggiatura:

  1. Sciacqua la bocca con acqua tiepida per pulire la zona.
  2. Se c’è gonfiore o dolore, applica del ghiaccio sulla guancia.
  3. Evita di masticare dal lato interessato.
  4. Prenota subito una visita odontoiatrica per una valutazione accurata.

In Clinica Viana, a Novara, i dentisti eseguono un controllo approfondito con radiografie digitali per verificare la profondità della scheggiatura e pianificare il trattamento più adatto.

Come si cura un dente scheggiato

Le soluzioni dipendono dalla gravità del danno, dalla posizione del dente e dal risultato estetico desiderato.

  1. Lucidatura o limatura estetica
    Ideale nei casi lievi, in cui la scheggiatura interessa solo superficialmente lo smalto e non compromette l’estetica. Permette di levigare i margini taglienti.
  2. Ricostruzione con materiale composito
    Il dentista modella una resina composita dello stesso colore del dente per ricreare la parte mancante. È una soluzione veloce, estetica e indolore, particolarmente indicata per un incisivo scheggiato.
  3. Faccette dentali in ceramica
    Consigliate per danni visibili sui denti anteriori o in caso di necessità estetiche elevate. Offrono un risultato naturale e duraturo, migliorando anche il colore e l’allineamento del dente.
  4. Corona dentale
    Se la scheggiatura è estesa o il dente è indebolito, una corona protegge e rinforza la struttura dentale, restituendo piena funzionalità e un’estetica impeccabile.
  5. Devitalizzazione e ricostruzione
    Quando la frattura raggiunge la polpa, il nervo può infiammarsi. In questo caso, si esegue una devitalizzazione, seguita dalla ricostruzione del dente o dall’applicazione di una corona protettiva.

Incisivo scheggiato: l’impatto estetico e psicologico

Un incisivo scheggiato, anche di pochi millimetri, può influire molto sull’immagine personale e sulla sicurezza nel sorriso.
Molti pazienti si sentono a disagio nel parlare o sorridere, soprattutto in contesti lavorativi o sociali.
Intervenire non è solo una questione estetica, ma anche funzionale: ripristinare la forma corretta aiuta a evitare un carico masticatorio sbilanciato e l’usura dei denti vicini.

Come prevenire un dente scheggiato

Anche se non è sempre possibile evitare completamente questo tipo di incidente, alcuni accorgimenti riducono il rischio in modo significativo:

  • indossa un bite notturno se soffri di bruxismo;
  • usa un paradenti durante l’attività sportiva;
  • evita di mordere oggetti duri o penne;
  • sottoponiti a controlli odontoiatrici regolari ogni 12 mesi;
  • mantieni una corretta igiene orale quotidiana.

La prevenzione resta la forma più efficace di cura, soprattutto per chi ha già avuto episodi di scheggiatura in passato.

Quando rivolgersi al dentista

Ogni scheggiatura, anche minima, merita una valutazione. Non sempre il dolore compare subito: a volte possono passare settimane prima che il danno diventi evidente.
Presso Clinica Viana, a Novara, il team di odontoiatri utilizza tecnologie digitali e strumenti di precisione per diagnosticare anche le microfratture invisibili, evitando peggioramenti futuri e garantendo risultati estetici di alto livello.

Conclusioni

Un dente scheggiato non deve rovinare il tuo sorriso.
Prenota una visita odontoiatrica presso Clinica Viana a Novara: il nostro team specializzato ti offrirà una diagnosi accurata e la soluzione più adatta per ripristinare estetica e salute dentale in modo rapido e sicuro.

FAQ

1. Un dente scheggiato si può sistemare completamente?

Sì, grazie ai materiali estetici moderni è possibile ricostruire perfettamente la parte mancante, rendendo il dente indistinguibile dagli altri.

2. Quanto dura la ricostruzione di un dente scheggiato?

Con una corretta igiene orale e controlli regolari, una ricostruzione può durare molti anni senza bisogno di interventi aggiuntivi.

3. Fa male curare un dente scheggiato?

No, la procedura è generalmente indolore. Quando necessario, si utilizza un’anestesia locale per garantire il massimo comfort.

4. Cosa fare se si scheggia un incisivo?

È importante evitare rimedi fai-da-te e rivolgersi subito al dentista. Gli incisivi, essendo visibili e più esposti, richiedono una correzione estetica precisa.

5. Posso prevenire la scheggiatura dei denti anteriori?

Sì. Evita abitudini scorrette, utilizza un bite notturno e programma visite regolari di controllo.

    icona-cv

    Prenota ora la tua visita specialistica
    o chiamaci al 0321 457045

    Compila il form a seguire per inviarci la tua richiesta di prenotazione.
    Ti contatteremo il prima possibile per fissare il tuo appuntamento.